
La parodontologia è una specializzazione dell'odontoiatria che si concentra su prevenzione, diagnosi e trattamento delle patologie che colpiscono i tessuti di supporto dei denti, come gengive, legamento parodontale, cemento radicolare e osso alveolare. Una corretta salute parodontale è importante per mantenere denti forti e funzionali nel tempo.
Presso lo Studio Dentistico Davide Sala, adottiamo tecnologie all'avanguardia e trattamenti personalizzati per garantire la massima efficacia nelle terapie parodontali. L'approccio multidisciplinare e l'utilizzo di tecniche minimamente invasive assicurano risultati ottimali, riducendo i disagi post-operatori.
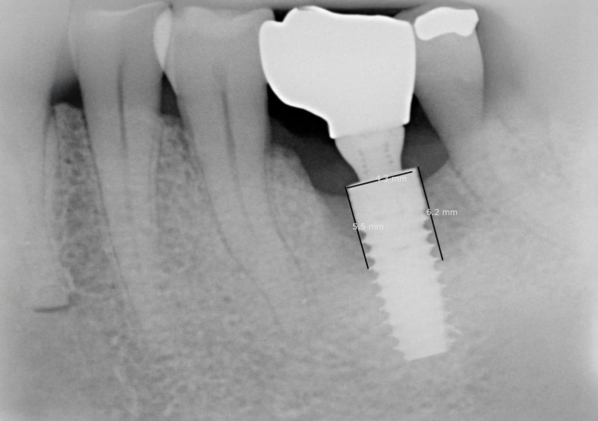
La perimplantite è una patologia infiammatoria che colpisce i tessuti intorno agli impianti dentali, causando il riassorbimento dell'osso di supporto e, nei casi più gravi, la perdita dell'impianto stesso. Le cause possono essere molteplici e vanno da placca batterica e tartaro causate dalla scarsa igiene orale, dal fumo e alle malattie sistemiche.
Il trattamento della perimplantite prevede una pulizia profonda delle superfici implantari, l'uso di laser o farmaci antibatterici e, nei casi avanzati, procedure di rigenerazione ossea per ristabilire il supporto dell'impianto.

La rigenerazione parodontale è una procedura chirurgica volta a ricostruire i tessuti di supporto dei denti, come osso alveolare, cemento radicolare, legamento parodontale e gengiva persi a causa della malattia parodontale.

La chirurgia mucogengivale è una vera e propria chirurgia plastica che si prefigge lo scopo di ripristinare l’estetica e la funzionalità del tessuto parodontale, perso a causa della malattia.
Tra le principali tecniche troviamo:

La terapia parodontale comprende una serie di strategie e trattamenti che mirano a curare la parodontite contrastando la moltitudine di fattori che la causano. L’ eliminazione dei batteri, del fumo e il controllo di malattie sistemiche.
Le fasi di intervento prevedono:

Pulizia impeccabile e strumenti sterilizzati secondo i più alti standard: nel nostro studio, la sicurezza del paziente è al centro di tutto.
Strumenti digitali e tecnologie d’eccellenza per cure precise, rapide e confortevoli: innovare per offrirti sempre il massimo della qualità.
Accesso alle cure senza pensieri: offriamo soluzioni di pagamento flessibili per permetterti di prenderti cura del tuo sorriso in totale serenità.
Collaboriamo con le principali assicurazioni sanitarie per offrirti un servizio completo e conveniente. Scopri le nostre convenzioni e come possiamo aiutarti a gestire i costi delle cure dentali.



