
La protesi dentale è una soluzione efficace e realizzata su misura per ripristinare la funzione masticatoria e l'estetica del sorriso con denti mancanti o danneggiati.
Le protesi possono essere fisse o mobili, a seconda delle necessità cliniche e delle preferenze del portatore.
Le protesi fisse rappresentano una soluzione duratura e stabile per la sostituzione dei denti mancanti. Possono essere ancorate ai denti naturali o agli impianti osteointegrati.
Tra le principali tipologie di protesi fisse troviamo:

Le protesi mobili sono indicate per i pazienti che necessitano della sostituzione di più denti e possono essere rimosse per la pulizia quotidiana. Le tecnologie attuali permettono di realizzare protesi estremamente sottili e confortevoli, minimizzando l'ingombro e migliorando la stabilità grazie all'ancoraggio su impianti.
Le protesti mobili si suddividono in:

Il percorso per ottenere una protesi dentale inizia con una scansione digitale della bocca del paziente, che consente di creare un modello virtuale dettagliato. La protesi viene poi progettata con tecnologie CAD-CAM e realizzata in laboratorio da tecnici specializzati. Dopo una prova clinica per verificare l'adattamento e il comfort, la protesi viene finalizzata e consegnata al paziente.
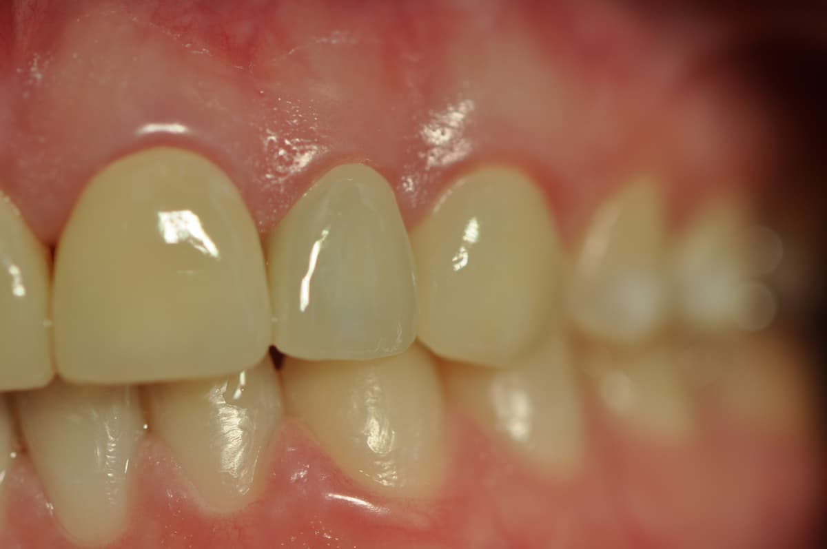
Per i trattamenti estetici, lo Studio Dentistico Davide Sala utilizza corone in zirconio ceramizzate, che combinano robustezza, affidabilità e bellezza. Rispetto alle faccette, le corone in zirconio offrono una maggiore durata nel tempo e richiedono una limatura minima dei denti naturali.
Una corretta igiene orale è essenziale per mantenere la protesi dentale in ottime condizioni. Il dentista fornisce al paziente tutte le istruzioni necessarie per la pulizia e la manutenzione, oltre a programmare controlli periodici per garantire la massima efficienza del dispositivo.
Pulizia impeccabile e strumenti sterilizzati secondo i più alti standard: nel nostro studio, la sicurezza del paziente è al centro di tutto.
Strumenti digitali e tecnologie d’eccellenza per cure precise, rapide e confortevoli: innovare per offrirti sempre il massimo della qualità.
Accesso alle cure senza pensieri: offriamo soluzioni di pagamento flessibili per permetterti di prenderti cura del tuo sorriso in totale serenità.
Collaboriamo con le principali assicurazioni sanitarie per offrirti un servizio completo e conveniente. Scopri le nostre convenzioni e come possiamo aiutarti a gestire i costi delle cure dentali.



